Cabinet des Docteurs Jacques SCHOUVER, Greyce
NASREDDINE, Marie DESCHAMPS
Chirurgiens-dentistes à METZ
11 AVENUE DE LATTRE TASSIGNY, 57000 METZ
+33 3 87 55 09 09
Cabinet des Docteurs Jacques SCHOUVER, Greyce
NASREDDINE, Marie DESCHAMPS
Chirurgiens-dentistes à METZ

L'orthodontie - Page 3

Traitement multi-attaches

Traitement multi-attaches

Appareil herbst

Appareil herbst

Prévention : scellement de sillons chez l'enfant

Prévention : scellement de sillons chez l'enfant

Orthodontie : idées reçues, idées revues

Orthodontie : idées reçues, idées revues

L'orthodontie : une affaire de spécialistes

L'orthodontie : une affaire de spécialistes

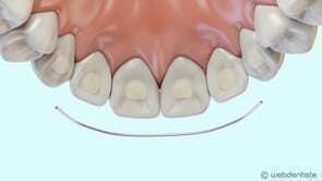
Fil de contention

Fil de contention

Affichage des articles 13-18 sur 22

Création par Webdentiste

Connexion